Jsou vaše dásně zdravé?
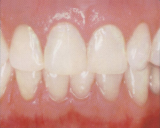
Zdravé dásně, obr. 1
- mají bledě růžovou barvu
- nekrvácí
- okraj dásně pevně obepíná zuby
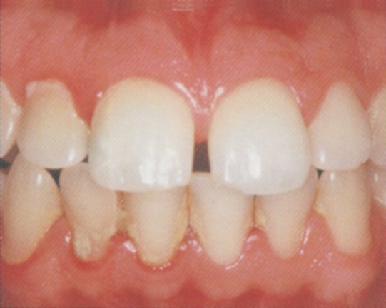
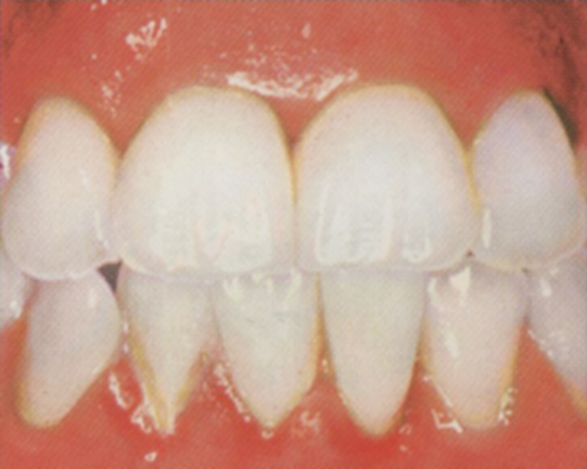
Zánět dásní (gingivitis) obr. 2
- dásně jsou zduřelé a zarudlé
- při čišťění dásně krvácí
- objevuje se zvýšená citlivost
- pocit zápachu z úst
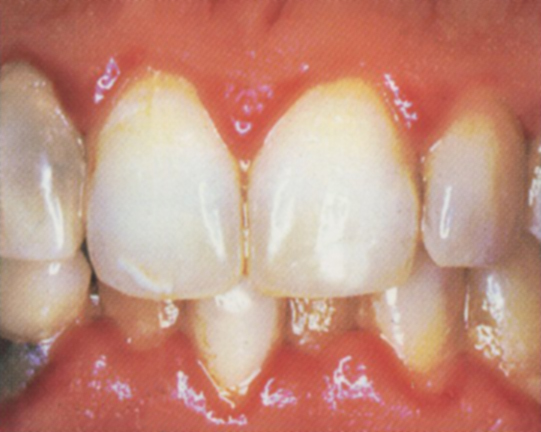
Počáteční parodontitis obr. 3
- dásně jsou červené, oteklé
- krvácení při čištění je výraznější
- zápach z úst
- sondovatelná hloubka dásňového žlábku se prohlubuje na 3-4 mm
- na rtg je patrný úbytek horizontální úbytek kosti
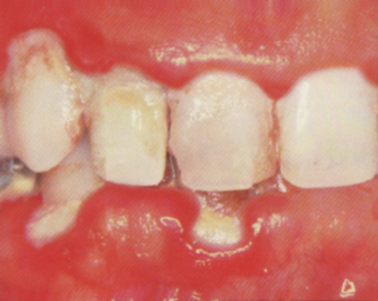
Střední parodontitis obr. 4
- dásně ustupují, odhalují se citlivé zubní krčky
- zuby vypadají delší
- zarudnutí, otok a krvácení dásní je výraznější
- dásně jsou citlivé až bolestivé
- zápach z úst, poruchy chuti
- sondovatelná hloubka dásňového žlábku se prohlubuje na 4-6 mm
- na rtg je patrný úbytek horizontální i vertikální úbytek kosti
Pokročilá parodontitis obr. 5
- zarudnutí, otok a krvácení dásní je výraznější
- zuby se začínají hýbat
- mezi zuby jsou viditelné mezery
- dásně jsou citlivé až bolestivé
- zápach z úst, poruchy chuti
- obnažují se kořeny zubů
- může se objevit hnis v parodontálních chobotech
- sondovatelná hloubka dásňového žlábku se prohlubuje nad 6 mm
- hrozí riziko ztráty zubů
![]() |



